
Jose Edison Arcila Romero
ODONTÓLOGO INTEGRAl
Odontólogo general U de A
Periodoncia, regeracion ósea, implantologia, rehabilitación Oral, Estética Dental : universidad U.C.C , UTECH de España y diplomados en Brasil.
Nota : separar la cita por este medio le permite obtener descuentos en todas las terapias
“Separa su cita “
![]()
![]()

![]()

![]()

![]()

![]()
DR : José Edison Arcila Romero.
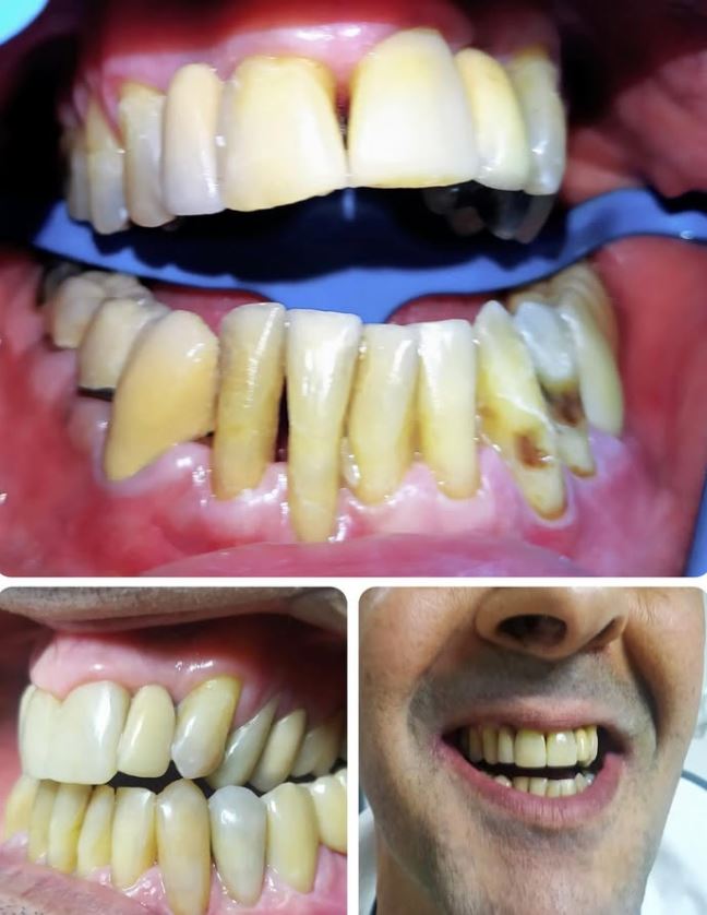
Por su experiencia ( 35 años de servicio) y sus estudios, ofrece tratamientos de excelente calidad, garantizados por escrito.
Nuestro Odjetivo:
-Mejorar la salud
-Recuperar la función masticatoria,mejorar la nutrición del paciente
-Resaltar su belleza y presentación personal
Por medio de diseños de sonrisa basados en estudios de tejidos blandos y esqueléticos
Con el apoyo de la última tecnología computarizada, técnicas Robóticas materiales de última generación.
Servicios
Odontologia General
Endodoncia
Odontología Estética
Rehabilitación Oral
Ortodoncia
Periodoncia
Implantologia
![]()

![]()
![]()

![]()

![]()

![]()

![]()

![]()

![]()

![]()

![]()

![]()
![]()

![]()
![]()
Siguenos en Instagram



